ORTODONTIA
O foco da ortodontia é avaliar o posicionamento dos dentes e definir a melhor forma de correção. Através de aparelhos fixos ou removíveis é possível o remodelamento ósseo e muscular garantindo uma boa adaptação das arcadas dentárias e, consequentemente uma melhora na respiração, dicção e na estética facial. Não há limite de idade para o paciente ter um tratamento ortodôntico preventivo ou interceptativo. Cada paciente tem seu plano de tratamento personalizado de acordo com suas necessidades específicas.


ORTOPEDIA
A Ortopedia Funcional oferece possibilidades de se atuar na dentadura decídua removendo impedimentos ao desenvolvimento oclusal, corrigindo desvios da função oclusal e, quando a correção total não é possível nessa fase, diminuem o tempo de tratamento e facilitam a correção numa segunda fase. A atuação precoce previne desequilíbrios mastigatórios, assimetrias de desenvolvimento, disfunções articulares (ATM) e problemas periodontais (de gengiva), diminuindo ou simplificando a necessidade futura de uso de aparelhos ortodônticos.
IMPLANTODONTIA
Uma bela aparência e um sorriso harmonioso nos trazem mais confiança para participarmos tanto de atividades profissionais quanto sociais, e elevam a nossa autoestima. A Implantodontia permite trazer o sorriso de volta para aqueles que perderam os seus dentes, nossos profissionais buscam a naturalidade do sorriso além de proporcionar maior qualidade de vida para seus pacientes. Os implantes devolvem a função mastigatória e garantem além da harmonia de um belo sorriso a satisfação de voltar a sorrir.


PRÓTESE
Dentes altamente comprometidos e implantes odontológicos necessitam de próteses, na maioria das vezes confeccionadas em porcelanas ou resinas de alta performance. O seu principal objetivo é a reabilitação bucal, em todas as suas funções: estética, fonética e mastigação. Em nossa clínica fazemos um planejamento minucioso de acordo com as necessidades do paciente e assim, determinamos a melhor opção de tratamento para que o paciente fique plenamente satisfeito.
ODONTOPEDIATRIA
Na Olímpia Odontologia as crianças recebem cuidados essências para crescer e desenvolver uma excelente saúde bucal! Aqui os atendimentos são personalizados, pois sabemos o quanto é importante o bem estar do seu filho. O objetivo da Clinica é garantir um tratamento sem traumas fazendo com que a visita ao dentista seja uma experiência positiva e duradoura. Na clinica os pais são orientados quanto à higiene, dieta, uso da mamadeira e da chupeta na primeira visita do bebê ao dentista.


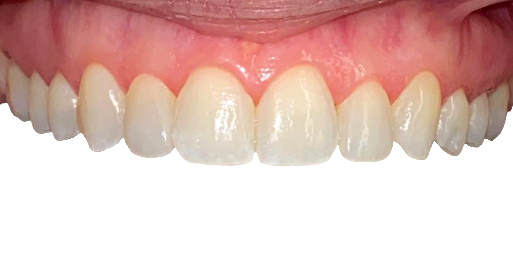
ESTÉTICA
A Olímpia Odontologia pratica uma odontologia moderna que consiste no conceito de "Cuidar de Saúde". Preocupada em oferecer um atendimento diferenciado a clínica trabalha com modernos protocolos de atendimento. Na primeira consulta realizamos um diagnóstico minucioso e de acordo com as necessidades do paciente elaboramos um planejamento personalizado de prevenção, que evita o aparecimento de problemas e permite controlar os já existentes em sua fase inicial assegurando maior qualidade de vida aos nossos pacientes.
